-
Introduction
-
- Rejoindre ce cours pour accéder aux ressources
-
La MIH
-
Les pathologies bucco-dentaires
-
Quiz final
-
- Rejoindre ce cours pour accéder aux ressources
-
Illustration clinique MIH
Le saviez-vous ?
MIH
Une jeune patiente adulte se présente en consultation en raison d’un sourire dyschromié source de nombreux complexes qu’elle désire corriger.
À l’examen clinique, la patiente présente des taches à l’opacité délimitée, de différentes nuances colorimétriques au niveau des incisives maxillaires avec une structure amélaire hypominéralisée particulièrement poreuse sur 11 et 21 (Fig.1).
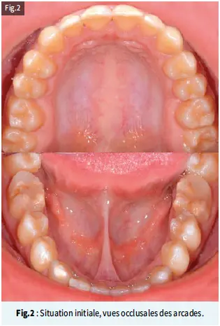
Les premières molaires mandibulaires de couleur brunâtre ont subi une dégradation post-éruptive, avec des restaurations en résine composite atypiques. On observe une asymétrie des défauts en ce qui concerne la localisation et le degré d’atteinte (Fig.2).
Le diagnostic différentiel doit être effectué avec toute autre anomalie touchant les structures amélaires.

Il n'y a aucune réaction pour le moment.
Partager ce contenu
Partager le lien
Partager sur les réseaux sociaux
Partager par e-mail
Veuillez s'inscrire afin de partager ce Article par e-mail.